A 24-year-old woman presents to her primary care physician complaining of headache, fever, and pain and itching in her genital region. She is currently sexually active and uses condoms “sometimes.” On examination, her vital signs are: temperature of 37.9°C, blood pressure of 117/74 mmHg, heart rate of 87 beats per minute, and respiratory rate of 16 breaths per minute. Physical examination was significant for several tender, ulcerating, pustular lesions on his genitals and tender inguinal lymphadenopathy.
Which of the following tests could diagnose the cause of her symptoms?
Tzanck smear. The patient is experiencing a primary herpes infection. (A) Dark field microscopy is used to diagnose syphilis, which would typically present with a solitary painless genital ulcer. (C) Behçet disease, diagnosed by a pathergy reaction test, would typically present with oral and cutaneous ulcers and is not associated with lymphadenopathy. (D) Chancroid, which would be diagnosed with a gram stain, could also present as multiple painful ulcers and inguinal lymphadenopathy, but is unlikely to cause systemic symptoms. (E) Donovanosis (granuloma inguinale) is caused by Klebsiella granulomatis and causes painless ulcers. It is diagnosed by tissue crush preparation.
A 68-year-old man presents with a cough for the last 6 months. He noticed 2 days ago that the cough also had thin streaks of bright red blood. He denies any fever, chills, or weight loss. He smokes 1 pack of cigarettes per day for the last 40 years. Vital signs are within normal limits and lung examination reveals decreased breath sounds diffusely. Chest x-ray does not show any abnormalities.
What is the best next step for this patient?
CT scan of the chest. The differential diagnosis of hemoptysis in a smoker includes bronchitis, malignancy, pneumonia, and mechanical trauma from excessive coughing. (D) Given his risk for malignancy, he should be further evaluated with a CT scan of the chest rather than repeating a chest x-ray in 3 months. (A) If a mass adjacent to the airway is found, it can be further evaluated with bronchoscopy. (C) This patient does not have a fever, chills, or x-ray findings suggestive of pneumonia, thus empiric antibiotics would not be appropriate at this time.
A 65-year-old woman with a past medical history of congestive heart failure presents with increasing confusion. The patient is unable to respond to questions in a coherent manner. Her son says that she has been drinking a pint of brandy a day for the past 40 years and expresses concern that her drinking has increased in the past few months since his father passed away. A chest x-ray shows an enlarged heart but is otherwise normal. Her laboratory values are shown below.
The FENa is 2.5% and urinalysis shows trace protein and pigmentstained granular casts.
What is most likely responsible for the laboratory findings?
Acute tubular necrosis. This case demonstrates the progression of prerenal kidney injury to ATN. While prerenal disease is commonly associated with transient dehydration, other important causes to keep in mind are congestive heart failure and cirrhosis, both of which are likely in this patient. The progression to ATN is evidenced by pigment-stained granular casts classically referred to as “muddy brown” casts.
(B, C) Cirrhosis and alcohol could contribute to prerenal AKI with a fractional excretion of sodium (FENa) <1%. (D) Many medications can cause ATN, including aminoglycosides, iodinated contrast agents, cisplatin, and amphotericin. This is not suggested by the patient’s history. (E) While a UTI is one of the most common causes of confusion in elderly individuals, the urinalysis did not report findings suggestive of infection.
A 42-year-old man presents to the ED with intermittent right lower abdominal pain described as sharp and radiating to his groin. He has no prior medical problems and has never been hospitalized in the past. His urine dipstick shows trace blood.
Which of the following is the best next step?
Abdominal CT without contrast. Symptoms of unilateral abdominal pain radiating to the groin are consistent with a diagnosis of nephrolithiasis, which is also supported by positive blood on urinalysis. (A) The proper diagnostic test for nephrolithiasis is a CT scan without contrast as this will allow visualization of small or radiolucent stones such as uric acid stones that would not be seen on x-ray. (B, D) CT with contrast and cystoscopy are part of the workup of microscopic hematuria to evaluate for renal cancer and bladder cancer, respectively. However, the patient’s symptoms suggest nephrolithiasis and he can avoid the full workup at this time. (E) This patient does not have symptoms/signs concerning for a UTI.
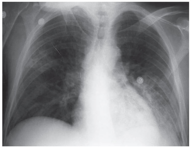
A 35-year-old man presents with increasing dyspnea and a nonproductive cough over the last week. Vital signs show a temperature of 38.6°C, blood pressure of 110/82 mmHg, heart rate of 112 beats per minute, and an oxygen saturation of 91%. He has a history of HIV infection and is currently not taking any medications. A chest x-ray is performed (Figure below), and his laboratory values are shown below.
Arterial blood gas
The patient has a CD4 count of 13/mm3 and a calculated A–a gradient of 47.
Which of the following is the most appropriate initial treatment?
Trimethoprim–sulfamethoxazole with prednisone. Trimethoprim–sulfamethoxazole is the treatment for PCP pneumonia, which occurs in immunocompromised patients (especially HIV positive patients with a CD4 count <200). The history, chest x-ray, and elevated lactate are all consistent with PCP pneumonia. (E) When the PaO2 is <70 mmHg or the A–a gradient is >35, prednisone should be given before antibiotics to limit the amount of pulmonary inflammation in response to PCP cell death and lysis. (B) HIV treatment with tenofovir/emtricitabine and raltegravir should not be initiated immediately since immune reconstitution may lead to worsening inflammation and respiratory distress. (C) This patient does not have findings that suggest TB infection. (D) Vancomycin and piperacillin/tazobactam is a broad-spectrum empiric antibiotic regimen; however, the likely diagnosis is PCP pneumonia and thus antibiotics should be tailored to this organism.