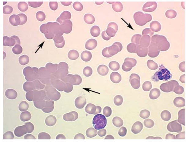
A 68-year-old man complains of cold blue hands. He first noticed a color change in the fall and reports that it has persisted through the winter. Further questioning reveals that he has been experiencing drenching night sweats the past few months and intermittent fevers. His wife notes that he has lost about 10 kg from his usual 80 kg weight at that time. She also notes that he has become more tired than usual and no longer wants to play tennis with their friends. Both his spleen and liver are palpable on examination. Laboratory results as well as his peripheral blood smear (Figure below) are shown below.
What is the most likely cause of his chief complaint?
Cold agglutinin disease. This patient is presenting with new onset leukemia, most likely chronic lymphocytic leukemia (CLL) given his age. In addition he is complaining of acrocyanosis. Individuals with CLL may develop cold agglutinin disease, which refers to the presence of IgM antibodies that target red blood cells and lead to autoimmune hemolytic anemia. Acrocyanosis may also result from agglutination of red blood cells in the small vessels of the hands and is most pronounced in cold climates.
(A) Raynaud phenomenon is vasoconstriction of the vessels in the hands due to cold temperature or emotional stress. It is not known to be associated with leukemia. (C) Thromboangiitis obliterans or Buerger disease is an inflammatory disease of small- to medium-sized vessels that classically affects smokers and leads to digital ischemia. (D) Connective tissue disorders such as Ehlers–Danlos and systemic sclerosis are also associated with digital ischemia; however, these are unlikely to coincide acutely with new-onset leukemia. (E) While Hashimoto thyroiditis may be associated with cold intolerance, it does not necessarily worsen with cold weather. It is not known to be associated with leukemia.
A 15-year-old boy is brought in by his mother with a 3-day history of dark urine. The patient feels well but reports having a severe sore throat 3 weeks ago that resolved on its own. Physical examination reveals a blood pressure of 142/88 mmHg and periorbital edema.
Which of the following is the underlying mechanism for this patient’s disease?
Type III hypersensitivity reaction. This patient is presenting with history (previous sore throat) and signs (hypertension, dark urine) consistent with poststreptococcal glomerulonephritis (PSGN). In PSGN, circulating antibody–antigen immune complexes deposit in the glomeruli of the kidneys. The mechanism of disease is a type III hypersensitivity reaction in which immune complexes form in the blood and deposit in tissues, activating the complement cascade and other immunologic damage. Type II hypersensitivity reactions occur due to antibodies directed at fixed antigens (not circulating in the blood stream). An example is rheumatic fever, in which antibodies previously formed will cross-react with myocardial cell antigens.
A 63-year-old woman presents to the hospital with cough and shortness of breath. She has not been to the doctor in years and has no medical history. Her symptoms have been present for the past few years, but have been unbearable over the last week when she developed a worsening cough that was productive of yellow sputum. She cannot walk 50 feet without becoming exceedingly short of breath. She drinks alcohol moderately and has a 40 pack-year smoking history. On examination, her temperature is 38.1°C, blood pressure is 108/62 mmHg, heart rate is 102 beats per minute, respiratory rate is 28 breaths per minute, and oxygen saturation is 91%. Her examination is notable for mild jugular venous distention, distant heart and breath sounds, and scattered wheezes and rhonchi.
Which of the following is NOT recommended as therapy at this time?
Furosemide. This patient is presenting with undiagnosed COPD and is having an acute exacerbation. The treatment for an acute exacerbation is oxygenation (goal oxygen saturation of 90% to 93% if she is a chronic CO2 retainer), ipratropium, and steroids. Albuterol is less important but may also be helpful. Furosemide is an important treatment in congestive heart failure. Although this patient could have right heart failure (cor pulmonale) from COPD and chronic hypoxemia, this is not the immediate concern. In addition, patients with pulmonary hypertension have a narrow range of ideal fluid balance to produce a satisfactory output from the right ventricle; therefore, diuresis can be dangerous if the patient is not truly fluid overloaded.
A 55-year-old man presents to the Emergency Department complaining of chest pain radiating to his left shoulder. ECG reveals ST segment elevation in leads II, III, and aVF. Serum troponins are elevated. Vital signs show a temperature of 37°C, a blood pressure of 101/63 mmHg, a heart rate of 65 beats per minute, and a respiratory rate of 16 breaths per minute. Physical examination reveals diaphoresis, elevated jugular venous pressure (JVP), and a late systolic murmur. Lungs are clear to auscultation.
Which of the following can safely be used to treat the patient’s condition without risk of worsening his hemodynamic status?
Aspirin. The patient has had an inferior wall myocardial infarction (MI) with evidence of right heart failure. Management of right heart MI involves optimization of preload, afterload, and contractility. (A) IV fluids must be used with caution for right heart failure since they can overload the damaged right ventricle. (B, D) Opioids and diuretics decrease preload and can decrease cardiac output. (C) β-blockers will decrease cardiac contractility and may further decrease the patient’s blood pressure, increasing his risk of shock.
A 52-year-old man is brought to the Emergency Department for sudden onset of chest pain that developed 30 minutes ago. He was sitting at home watching TV when he developed the chest pain. He had upper respiratory symptoms 1 week ago that resolved with supportive treatment. He has a long history of hypertension and hyperlipidemia. His current medications include lisinopril and atorvastatin. He has a temperature of 37.3°C, a blood pressure of 155/88 mmHg, a heart rate of 104 beats per minute, and a respiratory rate of 16 breaths per minute. He is anxious on examination, and has an S4 on cardiac examination. His lungs are clear to auscultation bilaterally. An initial ECG is performed (Figure below), and troponins are drawn and found to be negative.
What is the most likely diagnosis?
STEMI. This patient presents with risk factors and symptoms concerning for a myocardial infarction. The ECG shows ST elevations in the inferior leads (II, III, aVF). Troponins may not be elevated until 3 to 5 hours after the myocardial tissue infarcts, and they may remain elevated for up to 14 days. Troponins should be drawn on admission and repeated every 8 hours for 24 hours. In this case, the initial troponin test is negative given that his pain only occurred 30 minutes ago. The ECG shows ST elevations that confirm that the diagnosis is STEMI. (B) An NSTEMI would not show ST elevations on ECG. (C) An aortic dissection may lead to a myocardial infarction if the dissection involves a coronary artery, but there are no other findings to suggest this as the cause of this patient’s infarction. (D) Pericarditis would show diffuse ST elevations in all leads.