Match the figure with the correct description.
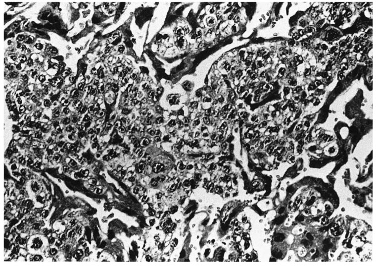
The figure is an example of choriocarcinoma, showing sheets of malignant trophoblasts. Malignant choriocarcinoma is a transformation of molar tissue or a de novo lesion arising from the placenta. There are significant degrees of cellular pleomorphism and anaplasia. Choriocarcinoma can be differentiated from invasive mole by the fact that the latter has chorionic villi and the former does not.
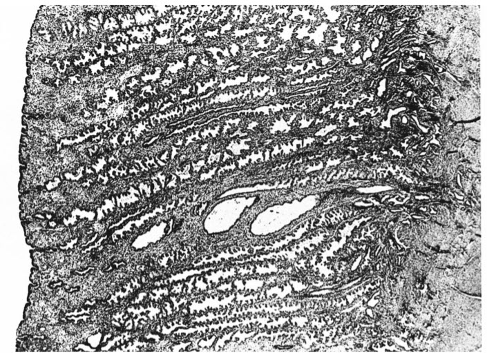
The figure shows early to midproliferative endometrium. Proliferative and late secretory endometrium can be differentiated by the development of glandular tissue and secretory patterns. The glands are just beginning to proliferate, and the section cuts through several coils as they course toward the surface epithelium on the left.
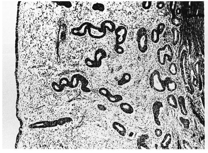
The figure shows late secretory endometrium. Proliferative and late secretory endometrium can be differentiated by the development of glandular tissue and secretory patterns. The glands are dilated and filled with amorphous (glycogen) material.
A patient is diagnosed with carcinoma of the breast.
Which of the following is the most important prognostic factor in the treatment of this disease?
Recognition of the high risk associated with axillary node metastases for early death and poor 5-year survival has led to the use of postsurgical adjuvant chemotherapy in these patients. Patients who have estrogen- or progesterone-receptive tumors (ie, receptor present or receptor-positive) are particular candidates for this adjuvant therapy, as 60% of estrogen-positive tumors will respond to hormonal therapy. Age and size of the tumor are certainly factors of importance, but they are secondary to the presence or absence of axillary metastases.
A 25-year-old woman presents to you for routine well-woman examination. She has had two normal vaginal deliveries and is healthy. She smokes one pack of cigarettes per day. She has no gynecologic complaints. Her last menstrual period was 3 weeks ago. During the pelvic examination, you notice that her left ovary is enlarged to 5 cm in diameter.
Which of the following is the best recommendation to this patient?
In young, menstruating women the most common reason for an enlargement of one ovary is the presence of a functional ovarian cyst. Functional cysts are physiologic, forming during the normal functioning of the ovaries. Follicular cysts are usually asymptomatic, unilateral, thin-walled, and filled with a watery, straw-colored fluid. Corpus luteum cysts are less common than follicular cysts. They are usually unilateral, but often appear complex, as they may be hemorrhagic. Patients with a corpus luteum cyst may complain of dull pain on the side of the affected ovary. Theca lutein cysts are the least common of the three types of functional ovarian cysts. They are almost always bilateral and are associated with pregnancy. Since the most common cause of a unilateral, asymptomatic ovarian cyst in a young, menstruating woman is a functional cyst, it is most reasonable to follow the patient conservatively and have her return after 1 to 2 months to recheck her ovary. More aggressive primary management with surgery is not indicated in a young, asymptomatic patient. CT scanning or pelvic ultrasonography may be indicated if the cyst is persistent. CA-125 is a cancer antigen expressed by approximately 80% of ovarian epithelial carcinomas. CA-125 testing is not very specific in women of childbearing age and is not useful for primary evaluation of an ovarian cyst in a young, asymptomatic patient. CA-125 testing is valuable in evaluating postmenopausal women with pelvic masses and in assessing treatment response in women undergoing treatment for CA-125 producing ovarian cancers.