Your-Doctor
Multiple Choice Questions (MCQ)



Free Palestine
Quiz Categories Click to expand

Category: Cardiology--->Aorta And Hypertension
Page: 10

Question 46# Print Question

A 45-year-old woman presents with discomfort in her left leg with walking, dizziness, headaches, and a cold right hand. She has no chest pain or shortness of breath. There is no significant past medical history and she does not smoke. 

Physical Examination:

  • BP—170/82 mmHg (left arm) and 140/68 mmHg (right arm).
  • Lung sounds are clear. Cardiac examination is notable for a normal S1 and S2 and II/VI diastolic decrescendo murmur at the left sternal border.
  • The right brachial pulse is diminished and lower extremity pulses are diminished. A bruit is heard over the left carotid artery and right subclavian artery.

What is the most likely diagnosis?

A. Behçet disease
B. Relapsing polychondritis
C. Giant cell arteritis
D. Takayasu arteritis


Question 47# Print Question

A 21-year-old woman with Turner syndrome has a history of surgical repair for periductal coarctation of the aorta at age 4 years. Her presentation was for HTN and heart failure, both of which resolved after the procedure. She was lost to follow-up after childhood and recently reestablished with a cardiologist. She has been experiencing dyspnea and claudication in the past year. 

Physical Examination:

  • BP—188/94 mmHg (left arm); 192/100 mmHg (right arm); 100/60 mmHg (right leg).
  • Pulses are notable for normal upper extremity and reduced lower extremity pulses with a brachial–femoral delay.
  • Cardiac examination is notable for normal S1 and paradoxically split S2 with an ejection click and S4 gallop.
  • A continuous murmur III/VI in intensity is heard under the left scapula. 

Which of the following statements is correct regarding the echocardiographic image from this patient obtained from the suprasternal notch (figure below).

A. Pressure gradients are usually underestimated using the simplified Bernoulli equation
B. Pressure gradients are usually accurate using the simplified Bernoulli equation
C. Pressure gradients shown are not consistent with severe coarctation
D. Presence of systolic and diastolic flow is consistent with severe coarctation


Question 48# Print Question

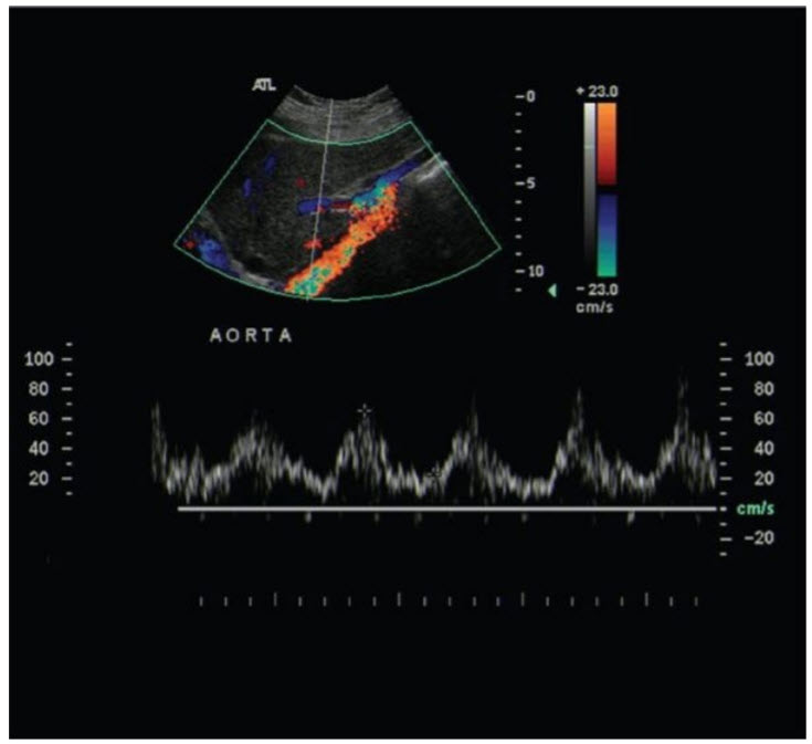
A 21-year-old woman with Turner syndrome has a history of surgical repair for periductal coarctation of the aorta at age 4 years. Her presentation was for HTN and heart failure, both of which resolved after the procedure. She was lost to follow-up after childhood and recently reestablished with a cardiologist. She has been experiencing dyspnea and claudication in the past year. 

Physical Examination:

  • BP—188/94 mmHg (left arm); 192/100 mmHg (right arm); 100/60 mmHg (right leg).
  • Pulses are notable for normal upper extremity and reduced lower extremity pulses with a brachial–femoral delay.
  • Cardiac examination is notable for normal S1 and paradoxically split S2 with an ejection click and S4 gallop.
  • A continuous murmur III/VI in intensity is heard under the left scapula. 

Which of the following statements is correct regarding the echocardiographic image from this patient obtained from the abdominal aorta (figure below).

A. The hallmark of coarctation is the presence of low systolic velocities
B. The presence of coarctation cannot be determined without knowing the timing of the pulse delay relative to aortic ejection
C. The hallmark of coarctation is the presence of persistent antegrade flow in diastole
D. The presence of coarctation cannot be determined without additional Doppler images proximal to the coarctation site


Question 49# Print Question

A 21-year-old woman with Turner syndrome has a history of surgical repair for periductal coarctation of the aorta at age 4 years. Her presentation was for HTN and heart failure, both of which resolved after the procedure. She was lost to follow-up after childhood and recently reestablished with a cardiologist. She has been experiencing dyspnea and claudication in the past year. 

Physical Examination:

  • BP—188/94 mmHg (left arm); 192/100 mmHg (right arm); 100/60 mmHg (right leg).
  • Pulses are notable for normal upper extremity and reduced lower extremity pulses with a brachial–femoral delay.
  • Cardiac examination is notable for normal S1 and paradoxically split S2 with an ejection click and S4 gallop.
  • A continuous murmur III/VI in intensity is heard under the left scapula. 

Which of the following recommendations is most appropriate regarding reintervention in this patient (figure below).

A. Surgery is generally recommended
B. No intervention should be performed until maximal medical therapy is attempted
C. Balloon angioplasty with or without stents is generally recommended
D. There is no consensus and either surgery or balloon aortoplasty (with or without stenting) are equal options


Question 50# Print Question

A 21-year-old woman with Turner syndrome has a history of surgical repair for periductal coarctation of the aorta at age 4 years. Her presentation was for HTN and heart failure, both of which resolved after the procedure. She was lost to follow-up after childhood and recently reestablished with a cardiologist. She has been experiencing dyspnea and claudication in the past year. 

Physical Examination:

  • BP—188/94 mmHg (left arm); 192/100 mmHg (right arm); 100/60 mmHg (right leg).
  • Pulses are notable for normal upper extremity and reduced lower extremity pulses with a brachial–femoral delay.
  • Cardiac examination is notable for normal S1 and paradoxically split S2 with an ejection click and S4 gallop.
  • A continuous murmur III/VI in intensity is heard under the left scapula. 

Which of the following is an indication for aortic coarctation intervention?

A. Symptomatic patient with dyspnea at rest, regardless of the coarctation gradient
B. Asymptomatic patient with normal BP at rest and with exercise and a peak-to-peak gradient across the coarctation site of 19 mmHg
C. Asymptomatic patient with a peak-to-peak gradient across the coarctation site of 15 mmHg with extensive collaterals
D. Symptomatic patient with a bicuspid aortic valve and severe aortic regurgitation undergoing aortic valve replacement and a peak-to-peak gradient across the coarctation of 15 mmHg




Category: Cardiology--->Aorta And Hypertension
Page: 10 of 25