A 44-year-old man is admitted to the hospital because of a left hemisphere stroke with right arm and leg weakness. He has no history of HTN or smoking, although his total cholesterol level is 334. ECG shows sinus rhythm. Carotid duplex ultrasound shows less than 20% obstruction bilaterally. Head CT demonstrates a recent stroke in the left cortex in the region of the middle cerebral artery. A TTE shows normal valves, chamber sizes, and LV function.
TEE shows a large protruding sessile atheroma in the distal descending aorta/distal aortic arch.
Which of the following atheromatous plaques is least likely to be associated with a cardioembolic event?
3-mm plaque with severe calcification and no mobile components. Predictors of embolic events in patients with aortic atheroma include:
Therefore, a smaller atheroma without mobile debris and with calcification is the least likely to be associated with an embolic event.
Which statement is correct regarding performing CABG in a similar patient with aortic arch atheroma and focal areas of atheroma in the ascending aorta?
Alternative sites for cross-clamping or cannulation may reduce stroke risk. Alternative sites for cross-clamping and cannulation such as femoral and axillary arteries may reduce the risk of stroke in a patient with significant ascending aortic atheroma. Aortic arch endarterectomy has been found to increase the risk of perioperative stroke and is seldom recommended. Replacement of the ascending aorta is not generally recommended as a prophylactic measure to reduce the risk of stroke in patients with severe atheroma of the ascending aorta because of the additive surgical morbidity and mortality. Palpation of the aorta by the surgeon is usually not accurate in finding noncalcified atheroma that may be detected by TEE.
A 21-year-old man is referred to a cardiology clinic for exertional dyspnea. As a child he was evaluated for a heart murmur by a pediatric cardiologist.
Physical Examination:
What diagnosis best explains the patient’s disorder?
Williams syndrome. The physical examination findings are classic for supravalvular aortic stenosis, with a left-sided systolic ejection murmur (increase with expiration) heard best in the first right intercostal space, an increased intensity S2 /A2 heart sound, increase in right-sided BP and pulses relative to the left side, and thrill in the suprasternal notch. Differential BP and pulses in the upper extremities is due to the Coanda effect with preferential deflection of blood flow toward the right brachiocephalic artery. Patent ductus arteriosus and severe coarctation of the aorta typically have continuous murmurs and would not typically have arm pulse differences. Supravalvular pulmonary stenosis would also not have pulse differences and the ejection murmur would decrease with expiration. Supravalvular aortic stenosis typically occurs in association with the Williams syndrome and associated mental retardation, and hypercalcemia. Supravalvular aortic stenosis is a form of aortopathy where obstruction occurs above the aortic sinuses usually at the sinotubular junction and is due to mutation in the elastin gene. The obstructive aortopathy is due either to a fibrous diaphragm, hour-glass deformity, or diffuse hypoplasia of the aorta
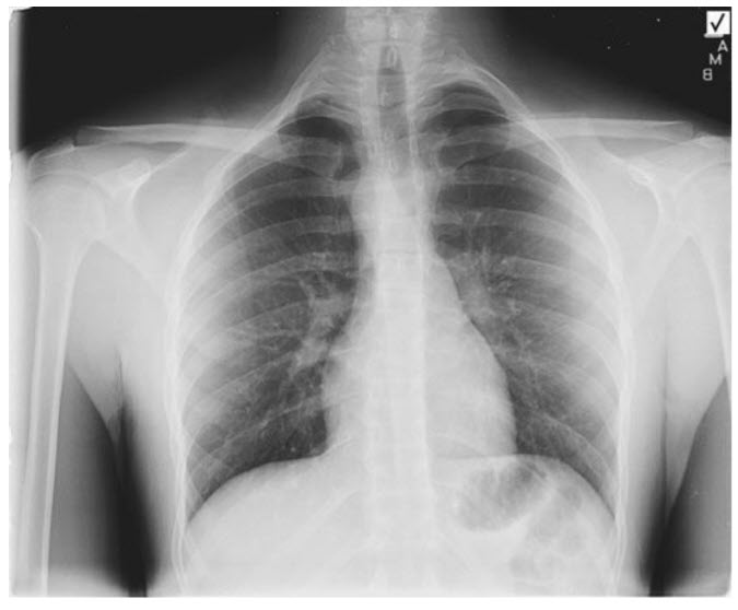
A 30-year-old man with a history of congenital heart disease is referred to you because of symptoms of dysphagia and an abnormal CXR. As a child he was told that his CXR was abnormal because of an “aortic anomaly” and that it was benign.
The CXR (Figure below) shows what abnormality?
Right-sided aortic arch. The CXR (Figure in question) shows a right-sided aortic arch with the aortic knob on the right side and absence of a left-sided aortic knob. A bovine aortic arch is an anatomic variant where the origin of the innominate artery and the left carotid artery arises from a common origin or the left carotid artery arises from the innominate artery. This variant occurs in approximately 13% of individuals and has no clinical significance. A cervical arch refers to the takeoff of the aortic branch vessels above the sternum into the soft tissues of the neck before turning downward to the descending aorta. It may present as a pulsatile mass in the neck or supraclavicular region and be associated with compressive symptoms and other vascular anomalies.
What is the most common congenital defect associated with the aortic anomaly of right-sided aortic arch?
Tetralogy of Fallot. A right-sided aortic arch is most commonly associated with tetralogy of Fallot, particularly for the mirror image form. There are several types of right-sided aortic arch, but the mirror image and the nonmirror image variety are the most common. With the non-mirror image type, the order of branches from left to right are as follows: left carotid, right carotid, right subclavian, and left subclavian artery. The left (aberrant) subclavian artery arises from the descending aorta. The mirror image type is much more frequently associated with congenital anomalies than the nonmirror image type. Chest X-ray PA projection shows tracheal deviation to the left and round opacity on the right with absence of a distinct aortic knob on the left. This is most consistent with a right-sided arch (figure below).