A 72-year-old man is investigated for oral ulceration. A biopsy suggests pemphigus vulgaris.
This is most likely to be caused by antibodies directed against:
Correct Answer D: Pemphigus vulgaris is an autoimmune disease caused by antibodies directed against desmoglein, a cadherin type epithelial cell adhesion molecule. It is more common in the Ashkenazi Jewish population.
Pemphigus vulgaris Features:
Management:
Pemphigus vulgaris. Mucosal erosions are an early sign in pemphigus vulgaris, often preceding the cutaneous changes.
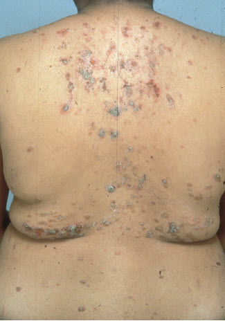
Pemphigus vulgaris. Cutaneous lesions typically affect the chest and back in addition to the scalp.
Pemphigus vulgaris: Indirect immunofluorescence using the patient’s serum and showing intercellular immunoglobulin G with intraepidermal split.
Which one of the following drugs is most likely to result in a photosensitive rash?
Correct Answer D: Drugs causing Photosensitivity: Causes of drug-induced Photosensitivity:
A 78-year-old woman asks you for cream to treat a lesion on her left cheek. It has been present for the past nine months and is asymptomatic. On examination you find a 2 * 3 cm area of flat brown pigmentation with a jagged, irregular edge. The pigmentation on the anterior aspect of the lesion is a darker brown.
What is the most likely diagnosis?
Correct Answer C: These lesions often present a diagnostic dilemma. The asymmetrical nature of the lesion would however point away from a diagnosis of solar lentigo.
Lentigo maligna: Lentigo maligna is a type of melanoma in-situ. It typically progresses slowly but may at some stage become invasive causing lentigo maligna melanoma.
Lentigo maligna melanoma.
A 45-year-old man who presented with itchy lesions on his hands is diagnosed with scabies. It is decided to treat him with permethrin 5%. You have explained the need to treat all members of the household and hot wash all bedding and clothes.
What advice should be given about applying the cream?
Correct Answer C: Scabies - permethrin treatment: all skin including scalp + leave for 12 hours + retreat in 7 days.
The BNF advises to apply the insecticide to all areas, including the face and scalp, contrary to the manufacturer's recommendation (and common practice).
Scabies: Scabies is caused by the mite Sarcoptes scabiei and is spread by prolonged skin contact. It typically affects children and young adults.
The scabies mite burrows into the skin, laying its eggs in the stratum corneum. The intense pruritus associated with scabies is due to a delayed type IV hypersensitivity reaction to mites/eggs which occurs about 30 days after the initial infection.
Features:
Patient guidance on treatment (from Clinical Knowledge Summaries):
The BNF advises to apply the insecticide to all areas, including the face and scalp, contrary to the manufacturer's recommendation. Patients should be given the following instructions:
Norwegian scabies: interdigital scale.
(a) Typical scabies in the finger webs. (b) Pruritic papules and nodules on the penis in scabies infestation. The genitalia should be examined in all instances of suspected scabies infestation, especially when the patient reports itching. (c) Papular lesions on the nipples and areolae are a common location for scabies in women. Given this woman’s history of pruritus, scabies was easily identified by the finding of scabies in this location. (d) A typical linear burrow with a tiny vesicle at the distal end. (e) Numerous scabies burrows on the palm. Such obvious lesions are rarely seen, as they are usually obscured by eczema, impetigo or both. The more common presentation of scabies with eczematization of the scratched lesion is shown in (f). The chronic pruritus of scabies rapidly leads to scratching and explains why eczema is frequently observed.
A 17-year-old male is reviewed six weeks after starting an oral antibiotic for acne vulgaris. He stopped taking the drug two weeks ago due to perceived alteration in his skin colour, and denies been exposed to strong sunlight for the past six months. On examination he has generalized increased skin pigmentation, including around the buttocks.
Which one of the following antibiotics was he likely to be taking?
Correct Answer E: Minocycline can cause irreversible skin pigmentation and is now considered a second line drug in acne. Photosensitivity secondary to tetracycline/doxycycline is less likely given the generalized distribution of the pigmentation and the failure to improve following drug withdrawal.
Acne vulgaris: management: Acne vulgaris is a common skin disorder which usually occurs in adolescence. It typically affects the face, neck and upper trunk and is characterized by the obstruction of the pilosebaceous follicles with keratin plugs which results in comedones, inflammation and pustules.
Acne may be classified into mild, moderate or severe:
A simple step-up management scheme often used in the treatment of acne is as follows: