A 15-year-old girl presents with an urticarial rash, angioedema and wheezing. Her mother states that she has just come from her younger sister's party where she had been helping to blow up balloons.
What is the most likely diagnosis?
Correct Answer D: This is a typical history of latex allergy. Adrenaline should be given immediately and usual anaphylaxis management followed.
Hypersensitivity: The Gell and Coombs classification divides hypersensitivity reactions into 4 types:
Type I - Anaphylactic:
Type II - Cell bound:
Type III - Immune complex:
Type IV - Delayed hypersensitivity:
Recently a further category has been added:
Type V - Stimulated hypersensitivity:
A 72-year-old woman is diagnosed with a number of erythematous, rough lesions on the back of her hands. A diagnosis of actinic keratoses is made. What is the most appropriate management?
Correct Answer C: Actinic, or solar, keratoses (AK) is a common premalignant skin lesion that develops as a consequence of chronic sun exposure.
Actinic keratoses: Features:
Management options include:
An 84-year-old woman with a history of ischaemic heart disease is reviewed in the dermatology clinic. Her current medication includes aspirin, simvastatin, bisoprolol, ramipril and isosorbide mononitrate. She has developed tense blistering lesions on her legs. Each lesion is around 1 to 3 cm in diameter and she reports that they are slightly pruritic. Examination of her mouth and vulva is unremarkable.
Correct Answer E:
Blisters/bullae:
Bullous pemphigoid:
Bullous pemphigoid is an autoimmune condition causing sub-epidermal blistering of the skin. This is secondary to the development of antibodies against hemidesmosomal proteins BP180 and BP230.
Bullous pemphigoid is more common in elderly patients.
Features include:
Skin biopsy:
Management:
*In reality around 10-50% of patients have a degree of mucosal involvement. It would however be unusual for an exam question to mention mucosal involvement as it is seen as a classic differentiating feature between pemphigoid and pemphigus.
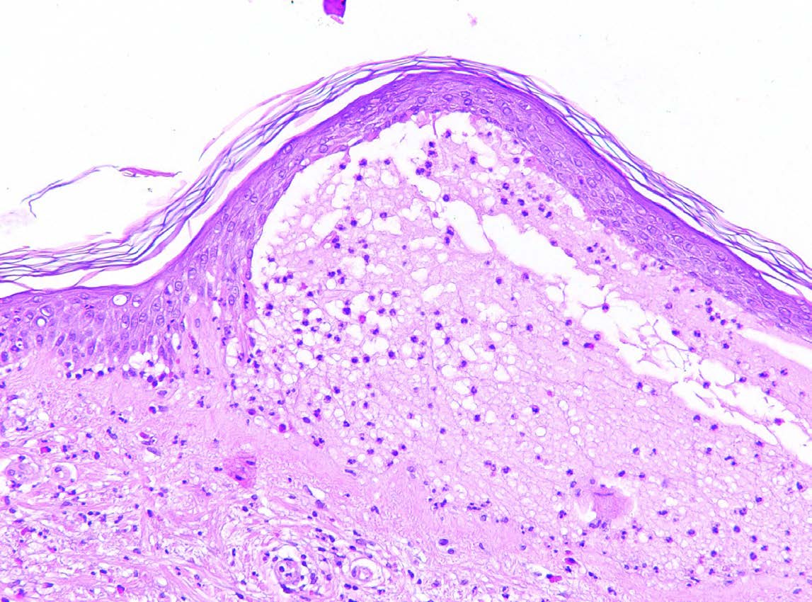
Histopathology of bullous pemphigoid. Lesional skin biopsy with subepidermal splitting and a dense inflammatory infiltrate of eosinophils and neutrophils in the upper dermis.
Direct immunofluorescence of bullous pemphigoid showing linear basement membrane zone deposition of IgG.
A 29-year-old man presents due to the development of 'hard skin' on his scalp. On examination he has a 9cm circular, white, hyperkeratotic lesion on the crown of his head. He has no past history of any skin or scalp disorder. Skin scrapings are reported as follows: No fungal elements seen.
Correct Answer A: As the skin scraping is negative for fungi the most likely diagnosis is psoriasis. Scalp psoriasis may occur in isolation in patients with no history of psoriasis elsewhere. Please see the link for more information.
The white appearance of the lesion is secondary to the 'silver scale' covering the psoriatic plaque.
Psoriasis:
Psoriasis is a common and chronic skin disorder. It generally presents with red, scaly patches on the skin although it is now recognized that patients with psoriasis are at increased risk of arthritis and cardiovascular disease.
Pathophysiology:
Recognized sub types of psoriasis:
Other features:
Complications:
plaque psoriasis.
guttate psoriasis.
flexural psoriasis.
A 15-year-old male returns to the dermatology clinic for review. He has a past history of acne and is currently treated with oral lymecycline. There has been no response to treatment and examination reveals evidence of scarring on his face.
What is the most suitable treatment?
Correct Answer C: Acne vulgaris is a common skin disorder which usually occurs in adolescence. It typically affects the face, neck and upper trunk and is characterized by the obstruction of the pilosebaceous follicles with keratin plugs which results in comedones, inflammation and pustules.
Acne may be classified into mild, moderate or severe:
A simple step-up management scheme often used in the treatment of acne is as follows:
There is no role for dietary modification in patients with acne.
Active severe papulopustular acne with development of atrophic acne scars.