A 55-year-old obese woman presents with pressure-like substernal chest pain lasting 1 hour. She works as a housekeeper. In the past few months, exertion at work has precipitated similar pain that goes away after a few minutes of rest. There is a family history of gallstones (mother and sister). On examination blood pressure is 90/50 and heart rate is 50 beats/minute. ECG is shown below.
What is the next best step in the management of this patient?
This patient has typical ECG abnormalities of an acute myocardial infarction of the inferior wall (ST segment elevation in II, III, and AVF) with reciprocal ST depression in aVL). The right coronary artery supplies blood to the right ventricle, the SA node, the inferior portions of the left ventricle, and usually to the posterior portion of the left ventricle and the AV node. Infarctions involving the SA node may produce sinus dysrhythmias, including bradycardia and sinus arrest. The use of verapamil or beta-blockers can further worsen the sinus node dysfunction and result in hypotension or shock. The use of nitroglycerin drip also can precipitates profound hypotension, as these patients are preload dependent. The use of ACE inhibitor at this time is not appropriate since patient is hemo-dynamically unstable. Thrombolytics are used for ST elevation MI if there is no availability of cardiac catheterization. Since the patient is hypotensive, giving IV fluids is the first step in the management of this patient.
A 30-year-old construction worker continues to have elevated blood pressure of 180/100 despite of four antihypertensive medications. He was found to be hypertensive at age 17 during a routine physical examination. He has a BMI of 23; the rest of the physical examination is unremarkable. He is taking no over-the-counter medications.
Routine blood chemistry are:
Which of the following is the best next step?
This patient likely has secondary hypertension caused by hyperaldosteronism. Resistant hypertension and unprovoked hypokalemia especially in the young should raise this suspicion. In a hypertensive patient with unprovoked hypokalemia (ie, unrelated to diuretics, vomiting, or diarrhea), the prevalence of primary aldosteronism approaches 40% to 50%. Other metabolic derangements such as mild hypernatremia and metabolic alkalosis are sometimes seen. The ratio of plasma aldosterone to plasma renin activity (PA/PRA) is a useful screening test. These measurements are preferably obtained in ambulatory patients in the morning. A ratio greater than 30:1 in conjunction with a plasma aldosterone concentration of greater than 555 pmol/L (20 ng/dL) has a sensitivity of 90% and a specificity of 91%. Urinary VMA, metanephrines, and catecholamines are tests for pheochromocytoma. Patients with pheochromocytoma often present with episodes of palpitations, headaches, and sweating. Bilateral renal artery Doppler is used to diagnose bilateral renal stenosis. Hypertension due to obstruction of a renal artery is a potentially curable form of hypertension. The mechanism of hypertension is generally related to activation of the renin-angiotensin system. Two groups of patients are at risk for this disorder: older arteriosclerotic patients who have a plaque obstructing the renal artery and younger patients, usually female, with fibromuscular dysplasia. Hypertension due to obstructive sleep apnea is increasing in frequency. The severity of hypertension correlates with the severity of sleep apnea. Obesity is an important risk factor. Hypertension related to obstructive sleep apnea should also be considered in patients with drug-resistant hypertension and in patients with a history of snoring. The diagnosis can be confirmed by polysomnography.
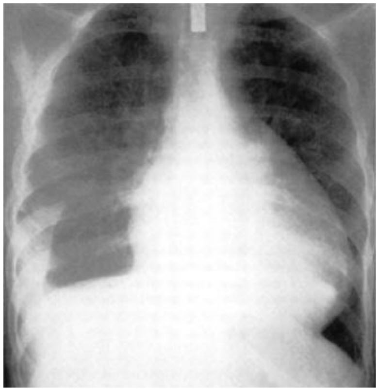
A 35-year-old woman was recently diagnosed with systemic lupus erythematosus. She presents with progressive dyspnea and chest pain for 2 weeks. Jugular venous distension is present and heart sounds are muffled. ECG shows electrical alternans. Chest x-ray is shown.
Which of the following is the most likely additional physical finding?
This patient has the typical water bottle heart seen on the chest x-ray of patients with pericardial effusion, which may occur in patients with lupus. Patients with pericardial effusion may develop cardiac tamponade, a condition in which pericar-dial fluid impedes diastolic filling, resulting in reduced cardiac output and hypotension. In these patients, the ECG may show pulsus alternans. Typical physical examination findings in cardiac tamponade include elevation of jugular venous pressure and pulsus paradoxus (paradoxical pulse). Pulsus paradoxus is defined as more than 10-mm Hg decline in systolic arterial pressure during inspiration. Normally during inspiration the intrathoracic pressure becomes more negative, hence facilitating increased venous return and increased blood flow to right ventricle. This is accompanied by bulging of the interventricular septum into the left ventricular cavity, which impedes left ventricular filling slightly and causes a drop in systolic blood pressure. This is normally less than 10 mm Hg. In cardiac tamponade this phenomenon is exaggerated. In contrast to pulmonary edema, the lungs of patients with cardiac tamponade are usually clear. Instead of a strong apical beat, one would expect a weak apical pulse and absent or muffled heart sound due to the fluid accumulation in the pericardial sac. An S3 or third heart sound usually signifies systolic heart failure in adults. An S3 is not found in cardiac tamponade. Epigastric and right upper quadrant tenderness can be seen in either in acute right-sided heart failure or cardiac tamponade due to passive congestion of the liver, but this finding is not specific. Cardiac tamponade is often fatal and pericardiocentesis may be life saving.
A 24-year-old woman is found to have rheumatic mitral stenosis and is a candidate for mitral valve replacement. She is in sinus rhythm. You are meeting with her to discuss the option of a mechanical or bioprosthetic (tissue) valve implantation. Which of the following statements is true?
Patients contemplating heart valve replacement may choose either a mechanical or a bioprosthetic (tissue) valve. Bioprosthetic valves are most commonly xenografts (usually porcine); homografts from cadavers and autografts (from the pulmonary position) are less commonly implanted. Thromboembolic complications are common after implantation of a mechanical heart valve. This increased risk of thromboembolic phenomena is not seen 3 months after implantation of a bioprosthetic valve. Thus, in the absence of atrial fibrillation, long-term anticoagulation is not necessary for most patients who receive a bioprosthetic valve. For many patients this confers significant advantage, as it eliminates the risk of hemorrhagic complications related to long-term anticoagulant therapy. The major disadvantage of bioprosthetic valves is that the rate of structural deterioration is faster and the expected valve life is shorter. Most mechanical valves have an expected life of 20 to 30 years. In contrast, one-third of patients with porcine bioprosthetic valves will require repeat valve replacement in 10 years, and half will need a new valve in 15 years. Tolerance of the increased cardiac output associated with pregnancy is the same irrespective of implanted valve type. Most experts favor a bio-prosthetic valve for women who are contemplating pregnancy. Mechanical valves require long-term anticoagulation with warfarin, which is teratogenic. Women with mechanical valves who are planning pregnancy should switch to an injectable heparin (which is inconvenient and more costly) before conception and continue this during most of pregnancy. Patients with a prosthetic heart valve are at increased risk of infective endocarditis. For prosthetic heart valve patients, prophylactic antibiotics are recommended before and after some high-risk procedures. Though official recommendations have recently eliminated many procedures for which antibiotic prophylaxis was traditionally recommended, antibiotic prophylaxis is still recommended for patients undergoing dental procedures that manipulate gingival tissue. This is recommended for all patients with a prosthetic heart valve irrespective of valve type or location. All patients with a prosthetic heart valve need regular follow-up. Many experts recommend yearly echocardiography beginning 5 years after valve implantation.
A 43-year-old woman with a 1-year history of episodic leg edema and dyspnea is noted to have clubbing of the fingers. Her ECG is shown below.
Which of the following is the most likely diagnosis?
Cor pulmonale describes pulmonary hypertension leading to right ventricular enlargement and failure. Its causes include diseases leading to hypoxic vasoconstriction, as in cystic fibrosis; occlusion of the pulmonary vasculature, as in pulmonary thromboembolism; other pulmonary vascular problems, such as collagen-vascular disease; parenchymal destruction as in sarcoidosis; and COPD. Primary pulmonary hypertension is diagnosed when no cause of right-sided heart failure can be found. With a chronic increase in afterload, the RV hypertrophies, dilates, and fails. The electrocardiographic findings include tall peaked P waves in leads II, III, and aVF (indicating right atrial enlargement), tall R waves in leads V1 to V3 and a deep S wave in V6 with associated ST-T wave changes (indicating right ventricular hypertrophy) and right axis deviation. Right bundle branch block occurs in 15% of patients. Inferior MI causes ST segment elevation and Q waves in the inferior limb leads (leads II, III, and aVF). Acute pericarditis leads to ST elevation in all limb leads (except for the maverick, aVR) and in the precordial leads, followed by T wave inversion in these leads. The Wolff-Parkinson-White syndrome is associated with a short PR interval (pre-excitation) and slurring in the initial forces of the QRS complex (the delta wave).