A 28-year-old man presents to the physician for new onset blurry vision. On examination, his vitals are normal and he appears extremely thin with an arm span much greater than his height, pectus excavatum, and arachnodactyly. On cardiac examination, there is a mid-systolic click at the apex followed by a soft end-systolic murmur.
Which of the following maneuvers will accentuate this murmur?
Abruptly standing. The patient in this vignette has features of Marfan syndrome, which is caused by an inherited defect in the fibrillin-1 gene. These patients have diffuse connective tissue disease that affects multiple organs. The chief complaint of this patient is vision loss, which is concerning for lens dislocation (supratemporal dislocation occurs in Marfan syndrome, infranasal in homocystinuria). This disease also affects the leaflets of the mitral valve, producing cystic medial degeneration leading to mitral valve prolapse (MVP). This patient has MVP, which is indicated by the mid-systolic click with mitral regurgitation following prolapse of the leaflet. The clicking sound is thought to be caused by tensing of the chordae tendineae. Patients with Marfan syndrome are also at risk for aortic aneurysm and dissection, especially in the ascending aorta.
The two murmurs that increase upon standing and decrease with squatting should be committed to memory: MVP and hypertrophic cardiomyopathy (HCM). As preload is decreased in the left ventricle during standing, left ventricular volume decreases and the mitral valve leaflet prolapses earlier in systole which leads to a lengthened mitral regurgitation murmur. In HCM, patients have a narrow outflow channel from asymmetric hypertrophy of the interventricular septum. With standing, the decrease in volume further narrows the outflow channel and makes the systolic ejection murmur louder. (A) Squatting will increase both the preload and the afterload, both of which ensure that the left ventricular volume will be increased and thus will reduce the murmur of MVP. (C) The hand grip maneuver will increase systemic vascular resistance and thus increase the afterload seen by the left ventricle, leading to an increase in volume and a decrease in the murmur of MVP. (D) Inspiration leads to a decrease in intrathoracic pressure, increasing preload to the right side of the heart. This increases the flow across the tricuspid and pulmonic valves, accentuating right-sided heart murmurs. Expiration is the opposite process and therefore accentuates leftsided heart murmurs. Inspiration will decrease the murmur of MVP due to a transient decrease in left ventricular preload due to increased volume in the right ventricle as well as an increase in compliance of the pulmonary veins.
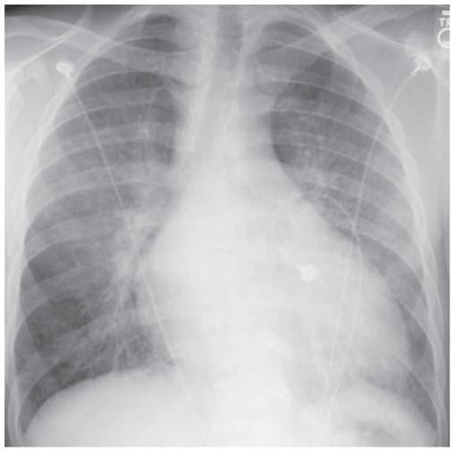
A 59-year-old man presents with complaints of cough and difficulty breathing. Over the last few days, his dyspnea has progressed to the point where he is short of breath unless resting in a seated position. His cough is nonproductive. He has a history of coronary artery disease and alcoholism. On examination, the patient appears uncomfortable; he is afebrile with a blood pressure of 123/72 mmHg, heart rate of 92 beats per minute, and respiratory rate of 24 breaths per minute. He is obese with a BMI of 36 kg/m2 . His heart sounds are distant and he has pitting edema of his lower extremities. A bedside ultrasound is of poor quality given the patient’s body habitus; however, the inferior vena cava (IVC) is enlarged and the width does not change during the respiratory cycle. A serum ethanol level is negative. His other laboratory tests and chest x-ray (Figure below) are shown below:
Which of the following is the most likely diagnosis?
Congestive heart failure. The given history is fairly straightforward for CHF, with a description of dyspnea, orthopnea, and a history of coronary artery disease and alcoholism (both of which can contribute to heart failure). A normal ultrasound shows some collapse during inspiration, which is a normal response to decreased intrathoracic pressure. This patient’s IVC is enlarged and fixed during the respiratory cycle, suggesting volume overload; this is helpful since the jugular venous pulsations may be difficult to appreciate in an obese patient. The chest x-ray shows bilateral pulmonary edema that results from increased hydrostatic pressure in the pulmonary circulation. The one trick to this question is the false-negative brain natriuretic peptide (BNP). BNP is a peptide released primarily by the ventricles in response to increased filling pressures seen in the setting of heart failure. Normally, BNP is extremely sensitive and therefore a negative result pretty much rules out this diagnosis; however, false negatives are reported in obese patients and therefore this diagnosis should still be considered.
(B) Nephrotic syndrome results in edema from loss of intravascular protein in the urine, and so the ultrasound would not show an enlarged IVC. (C) The patient is afebrile, and furthermore pneumonia would not cause pitting edema. (D) A pericardial effusion can also cause an enlarged IVC from increased venous pressures, but would not produce marked pulmonary edema. (On the examination, look for Beck’s triad of cardiac tamponade: jugular venous distention, muffled heart sounds, and hypotension.)
A 43-year-old woman with systemic lupus erythematosus presents to the hospital with breathlessness and leg swelling. She has been seen by a cardiologist before due to “inflammation of her heart valve,” but she moved out of the city and never received follow-up. On cardiac examination she has an early diastolic opening snap at the apex followed by a diastolic rumbling murmur.
If the opening snap heard during the cardiac examination occurred even closer to the second heart sound, what would this indicate?
: Increased left atrial pressure. Lupus can cause inflammation of the mitral valve, which can progress to mitral stenosis. Rheumatic heart disease is another cause of mitral stenosis and is a result of repetitive exposure to group A strep. This patient is now presenting in heart failure from decompensated mitral stenosis, which should have been diagnosed based on the murmur heard during cardiac examination. In mitral stenosis, there is an obstruction between the left ventricle and the left atrium so that filling of the ventricle during diastole is incomplete. As a result, pressure increases in the left atrium and causes it to become enlarged, which predisposes the patient to atrial fibrillation. The opening snap is an abnormal sound during early diastole that is caused by the thickened mitral valve leaflets opening. Valves only open when there is a change in pressure between two compartments; therefore, the mitral valve will open when the left atrial pressure exceeds left ventricular pressure during diastole (Figure below). The higher the left atrial pressure, the earlier the opening snap. Hence the mnemonic “tight is tight,” meaning that the more stenotic the valve is (“tight”), the closer the opening snap is to S2 (“tight”). This indicates advanced disease and is a concerning sign. (A, B) Pressure difference between two chambers is the driving force for valve opening/ closure, not volume difference. (C) Increased left ventricular pressure would delay the opening of the mitral valve, which is heard as the opening snap.
A 34-year-old man with paranoid schizophrenia was brought in by police due to disorganized behavior. He is admitted to the psychiatric ward and undergoes treatment. During hospitalization, the patient becomes unconscious and the following is seen on the monitor (Figure below).
Which of the following is the most appropriate initial treatment?
Magnesium sulfate. The rhythm shown above is torsades de pointes (“twisting of the points”), a polymorphic ventricular tachycardia which is a feared complication in patients with a prolonged QT interval. In this case, the patient has schizophrenia and therefore is likely on a QT-prolonging antipsychotic medication (such as haloperidol). There are also inherited channelopathies that cause a prolonged QT interval, which are collectively called long QT syndrome. When patients have a prolonged QT interval, they are at risk for the “R on T” phenomenon, which describes depolarization (R of the QRS complex) of the ventricles while many of the myocytes are in the vulnerable relative refractory period (end of the T wave). The result is a potentially fatal arrhythmia. Removal of the offending agent and administering magnesium sulfate is the treatment of choice for torsades. Defibrillation may also be required. (B, C, D, E) The other options are all anti-arrhythmic medications that are not considered to be first-line treatment in this condition.
A 58-year-old man comes to your office complaining of occasional chest pain for the past 2 weeks. He was previously active and worked in construction; however, he has had to limit his activity due to the chest pain. The pain occurs with exertion, especially after climbing stairs, and is accompanied by shortness of breath. If he stops to rest, the pain is relieved within 5 minutes. He is not currently experiencing chest pain.
Which of the following is the best next step in management?
Order a stress test. This patient is likely experiencing stable angina from coronary artery disease. With exertion, the oxygen demand of cardiomyocytes increases but due to fixed atherosclerotic narrowing of the artery, the supply remains constant. This produces a demand–supply mismatch that causes ischemia with anginal chest pain. The next step to make the diagnosis is a stress test. (A) Testing the patient’s ABI would be useful if the patient was presenting with symptoms of claudication from atherosclerosis in the distal extremities. These symptoms are described as fatigue and cramping of the lower-extremity muscles that resolve with rest. (B, D) These would be options if the patient was suffering a myocardial infarction. (E) Reassurance would be inappropriate since it is necessary to make the diagnosis and start treatment.