Your-Doctor
Multiple Choice Questions (MCQ)



May ALLAH keep Kuwait safe
Quiz Categories Click to expand

Category: Cardiology--->Ischaemic heart disease
Page: 13

Question 61# Print Question

A 48-year-old man presents to the emergency room agitated after abusing cocaine. His heart rate is 110 per minute, his BP is 200/120 mmHg, and an ECG shows ST elevation in the inferior leads. On examination he is diaphoretic with clear lung sounds. Auscultation is pertinent for a diastolic murmur at the base of the heart that accentuates with expiration.

What is the appropriate next step for definitive diagnostic evaluation? 

A. Performance of a CT pulmonary embolus protocol
B. Performance of a gated CT of the aorta
C. Activation of the catheterization laboratory for primary PCI
D. Initiation of intravenous heparin and load with ticagrelor
E. Performance of a two-dimensional echocardiogram at the bedside


Question 62# Print Question

A 78-year-old man calls 911 because he has sudden-onset chest pain. On EMS arrival he has a BP of 120/80 mmHg and a heart rate of 80 beats per minute. His lungs are clear to auscultation and he has a left ventricular (LV) S4 noted. ECG done on the field confirms an anterior MI with ST elevation from V1 to V4 . He is given an aspirin and a sublingual nitroglycerin and transfer is initiated. Within 5 minutes while en route his BP is noted to be 60 mmHg and a saline bolus is initiated. Cardiovascular examination is unchanged and no murmurs are noted.

Which of the following scenarios may likely explain his observed hemodynamic deterioration?

A. Hypotension resulting from bleeding due to administration of aspirin
B. Right ventricular (RV) infarction
C. Anaphylaxis reaction from aspirin
D. Recent exposure to a phosphodiesterase 5 inhibitor
E. Massive pulmonary embolism


Question 63# Print Question

A 42-year-old mother is visiting her child who is undergoing chemotherapy in the Children’s Hospital. She suddenly develops chest pain and is noted to be nauseous and diaphoretic. An ECG is performed (Fig. below). On angiography, the coronaries are free of significant epicardial stenosis. A ventriculogram shows apical ballooning with an LVEF of 25%. The patient is admitted to the CCU.

Which of the following statements will most likely define her clinical course?

A. She will likely require an ICD as LV function is unlikely to recover
B. Her prognosis will likely be excellent with full recovery of LV function
C. She is at risk for recurrent atherosclerotic ischemic events
D. Indefinite anticoagulation with warfarin will be indicated
E. She is at higher risk for a malignancy in the ensuing year


Question 64# Print Question

A 91-year-old man with a history of prior CABGx2 is brought from the nursing home with shortness of breath and hypotension. He is debilitated and has required 24/7 nursing care for activities of daily living. His ECG shows diffuse ST-segment depression, and he is noted to be in pulmonary edema. His heart rate is 110 per minute and his BP is 70/40 mmHg. He has a recent stroke 3 months prior and has stage 4 chronic kidney disease. History is also relevant for a diagnosis of prostate cancer with extensive metastasis to his spine.

Which of the following is indicated? 

A. Discussion with the family explaining his poor prognosis and the near futility of escalating care
B. Emergent catheterization and revascularization as indicated by anatomy
C. Placement of an IABP for medical stabilization
D. Plan for emergent dialysis
E. Urgent oncology consultation to estimate his prognosis from his prostate cancer


Question 65# Print Question

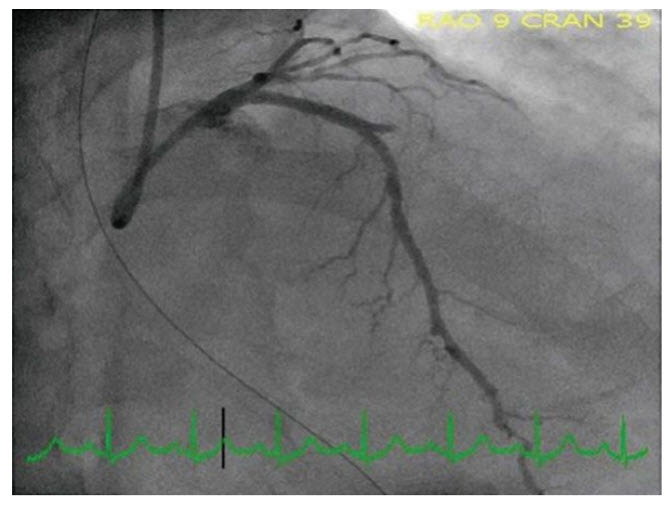
A 64-year-old man presents with ST elevation and is taken for primary angioplasty (see Fig. below).

Identify the infarct-related artery?

A. LAD
B. Diagonal
C. RCA
D. Left Circumflex
E. Obtuse marginal




Category: Cardiology--->Ischaemic heart disease
Page: 13 of 26