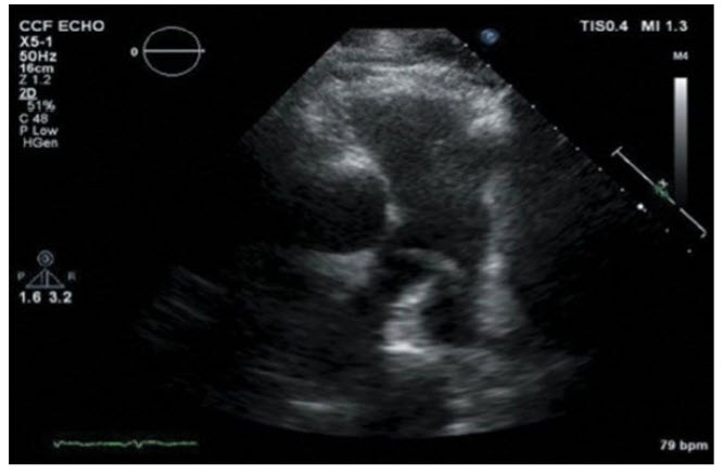
A 45-year-old man is status post hip replacement. He develops sudden-onset shortness of breath. On examination, he is hypotensive with a BP of 80/40 mmHg. An ECG shows sinus tachycardia at 100 beats per minute with ST elevation in V1 to V2 . A bedside echo is performed (Fig. below).
What is the most appropriate intervention?
Initiate intravenous heparin and assess the risks and benefits of fibrinolysis. The echo shows a linear density in the main PA extending into the left PA. Findings are most consistent with a hemodynamically significant pulmonary embolism. Starting intravenous heparin and assessment for fibrinolysis are urgently indicated.
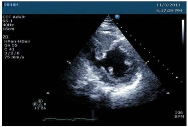
A 75-year-old woman presented with shortness of breath and generalized malaise of 1-week duration. Her heart rate was 90 per minute and BP was 90/50 mmHg. Examination revealed rales in bilateral lung bases, an elevated jugular venous pulse, and a loud systolic murmur in the left parasternal area. An echo (Fig. below) was performed.
What is the likely infarct-related artery?
Mid RCA in dominant RCA. The echo shows a VSR in the basal inferoseptum. This area is usually supplied by the PDA. As a result, a dominant RCA infarction likely accounts for these changes.
A 42-year-old male nurse in a rural emergency room develops crushing chest pain 30 minutes after he smoked a cigarette during a break in his shift. An ECG (Fig. below) is performed.
Initiate fibrinolytic therapy with reteplase with adjunctive treatment with aspirin and intravenous heparin. The ECG shows significant anterior ST depression with upright T waves consistent with a true posterior current of injury. Although no benefit is noted with fibrinolytic therapy over placebo in randomized clinical trial, a benefit was noted in patients with true posterior injury defined as ST depression >2 mm in the anterior precordial leads. This patient is in the golden hour. Transfer to a remote location for PCI 4 hours later would be inappropriate.
A 67-year-old man presents to the emergency room with increasing frequency of chest pain on exertion and one episode of rest pain lasting 15 minutes the day of admission. Other than for hypertension and hyperlipidemia his medical history is unremarkable. He quit smoking (1 pack a year for 20 years) 11 years ago. On physical examination he is afebrile, his pulse is 78 bpm, and his blood pressure is 138/76 mmHg. Cardiac and pulmonary auscultations are unremarkable. His current medications include aspirin, metoprolol, ramipril, and atorvastatin. The electrocardiogram (ECG) at admission reveals deep T-wave inversion in the precordial leads and no pathologic Q waves. You admit the patient to the hospital and start intravenous (IV) unfractionated heparin (UFH) and nitroglycerine. The first available serum troponin I level is 1.4 μg/L (upper limit of normal, 0.09 μg/L). Cardiac echocardiography shows an anterior and apical hypokinesia with mildly depressed left ventricular function.
The next step in his management would be:
Coronary angiography within 48 hours followed by percutaneous intervention/surgical revascularization if indicated. There is continued debate as to whether a routine, early invasive strategy is superior to a conservative strategy for the management of UA and NSTEMI. A pooled analysis of randomized controlled trials with 5,467 patients compared the impact of routine invasive (RI) strategy with selective invasive (SI) strategy: Over 5 years, 14.7% of patients randomized to an RI strategy experienced CV health or nonfatal MI versus 17.9% in the SI strategy (hazard ratio [HR]: 0.81; 95% confidence interval [CI]: 0.71 to 0.93; P = 0.002). However, the largest absolute effect was mainly observed in higher-risk patients (11.1%). Another meta-analysis using data from eight trials (3,075 women and 7,075 men) compared early invasive versus conservative treatment strategies in women and men with UA and NSTEMI and reported comparable odds ratio (OR) for reducing MACE (death, MI, and rehospitalization for ACS) of 0.81 (95% CI: 0.65 to 1.01) in women and 0.73 (95% CI: 0.55 to 0.98) in men. In contrast, an invasive strategy was not associated with a significant reduction in low-risk (biomarker-negative) women. The 2012 ACC/AHA guidelines for the management of patients with unstable angina/non-ST-elevation myocardial infarction recommend an early invasive strategy (i.e., diagnostic angiography with intent to perform revascularization) in patients who have refractory angina or hemodynamic or electrical instability, and in those initially stabilized who have an elevated risk of clinical events. Table below
lists patients at elevated risk and in whom invasive strategy is preferred based on the ACC/AHA 2011 guidelines. Our patient has several high-risk criteria (ongoing angina, elevated biomarkers, and echocardiographic abnormalities). TIMI (Thrombolysis in Myocardial Infarction) risk score revealed 5 points (26% risk at 14 days of MACE) and GRACE (Global Registry of Acute Cardiac Events) risk score showed a high risk of mortality.
A 57-year-old man presenting with unstable angina (UA) was successfully treated with percutaneous coronary intervention (PCI) of a significant lesion of the right coronary artery (RCA) in the presence of a normal left ventricular ejection fraction (LVEF). He is referred for cardiac rehabilitation program.
What is the expected benefit?
Lower rate of hospital readmission. Belardinelli et al. addressed the effects of exercise training (ET) on functional capacity and quality of life (QOL) in patients who received percutaneous transluminal coronary angioplasty (PTCA) or coronary stenting (CS). The authors studied 118 consecutive patients with CAD (mean age 57 ± 10 years) who underwent PTCA or CS on one (69%) or two (31%) native epicardial coronary arteries. Patients were randomized into two matched groups. Group T (n = 59) was exercised three times a week for 6 months at 60% of peak VO2 . Group C (n = 59) was the control group. Only patients in the active group had significant improvements in peak VO2 (26%, P <0.001) and QOL (26.8%, P = 0.001 versus C). The angiographic restenosis rate was unaffected by ET (T: 29%; C: 33%, P = not significant). However, residual diameter stenosis was lower in trained patients (–29.7%, P = 0.045). In patients with angiographic restenosis, thallium uptake improved only in group T (19%, P <0.001). During the follow-up (33 ± 7 months), trained patients had a significantly lower event rate than controls (11.9% versus 32.2%; risk ratio [RR]: 0.71; 95% CI: 0.60 to 0.91; P = 0.008) and a lower rate of hospital readmission (18.6% versus 46%; RR: 0.69; 95% CI: 0.55 to 0.93; P <0.001). Moderate ET improved functional capacity and QOL after PTCA or CS. During the follow-up, trained patients had fewer events and a lower hospital readmission rate than controls, despite an unchanged restenosis rate. The 2011 ACC/AHA guidelines for PCI recommend (class I, evidence A) medically supervised exercise programs to patients after PCI, particularly for moderate- to high-risk patients for whom supervised ET is warranted. 5 Participation in cardiac rehabilitation is associated with significant reductions in all-cause mortality (OR 0.80; 95% CI: 0.68 to 0.93) in several community-based surveys and meta-analyses.