A 70-year-old man presents to the clinic with a long history of chronic cough and shortness of breath. The cough is sometimes productive of white sputum in the morning, and he has decreased his level of exercise over the years due to worsening shortness of breath. He has a 50 packyear smoking history. On physical examination he has a large anterior– posterior diameter of his chest wall with hyper-resonance to percussion over the lung fields.
Compared to the lung volumes of a healthy patient, how would the lung volumes in this patient be different? (Note: VC is vital capacity, TLC is total lung capacity, RV is residual volume.)
Decreased VC, Increased TLC, Increased RV, Increased RV/TLC Ratio. This patient has COPD, a very common disease seen in older smokers as a result of chronic airway inflammation. Most patients have components of chronic bronchitis and emphysema. To answer questions like this on the examination, it is important to understand the components of lung volume (Figure below).
Airway and parenchymal destruction from emphysema decreases the elastic recoil of the lung, allowing the chest wall to expand and increase the lung volumes (increased TLC). In addition, bronchioles are more collapsable during expiration as a result of the supporting connective tissue destruction that normally helps to prop open smaller airways. This causes air trapping and an increase in the RV. (B) The increase in RV is typically greater than the increase in TLC, making the RV/TLC ratio increased in these patients. (C) In restrictive lung diseases, there will be a relatively proportional decrease in all lung volumes, making the RV/TLC ratio normal. Examples include pulmonary fibrosis, in which scarring and contraction of the interstitium causes reduced volume; and neuromuscular disease, in which lung volumes are functionally reduced due to weakness of the muscles of respiration. (D) Lung volumes in a symptomatic COPD patient like this would not be normal.
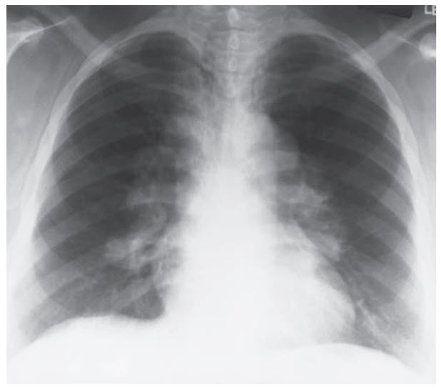
A 32-year-old African American woman presents to the hospital with chest pain, cough, and difficulty breathing. Symptom onset has been gradual over the past few months. She has not traveled recently or been exposed to any sick contacts, and she has no personal or family history of cardiac disease. She works as an elementary school teacher and does not smoke or use illicit drugs. On examination, the patient is afebrile and her vitals are normal. The patient is admitted and a chest x-ray is obtained (Figure below).
Which of the following laboratory values would most likely be elevated in this patient?
Angiotensin-converting enzyme. The risk of sarcoidosis is increased in African American patients, and is suggested by the development of chronic symptoms of chest pain, cough, and dyspnea. Sarcoidosis is a granulomatous disease that most commonly affects the lungs but can affect many other organs including the skin (granulomatous nodules, erythema nodosum), eyes (uveitis), heart (restrictive cardiomyopathy, conduction disturbances), nervous system (neurosarcoid), and more. The cause is unknown. Diagnosis can be made by putting together the clinical symptoms and risk factors, obtaining a chest x-ray that shows bilateral hilar adenopathy (Figure above), and performing a biopsy that shows noncaseating granulomas. If pulmonary function tests are performed, a restrictive pattern may be seen.
Angiotensin-converting enzyme is produced in excess by granulomas within the lungs and is often elevated in these patients. However, its use in diagnosing sarcoidosis is limited by a high rate of false positives and false negatives. (A, B) Though hypercalcemia may be present, it is rare and a much less common finding than hypercalciuria. Hyperkalemia is not common. (C) Rheumatoid arthritis–associated lung disease typically presents as an interstitial process primarily affecting the lower lobes. (E) Testing for tuberculosis is a good idea in this patient, but this diagnosis is less likely given her risk factors and findings on chest x-ray.
A 72-year-old man is being hospitalized for pneumonia and suddenly experiences worsened dyspnea. He states that he cannot seem to catch his breath, which is worse than when he first came to the hospital. He has a sharp chest pain that is more painful with deep inspiration. His medical history is significant for diabetes, hypertension, a hemorrhagic stroke with residual left-sided weakness, and chronic hepatitis. He has a temperature of 37.6°C, blood pressure of 138/88 mmHg, heart rate of 134 beats per minute, respiratory rate of 28 breaths per minute, and oxygen saturation of 95%. A Doppler ultrasound study confirms a deep venous thrombosis (DVT) in the lower extremity, and a CT angiogram confirms the diagnosis of pulmonary embolism.
Which of the following should be done next for this patient?
Place an inferior vena cava (IVC) filter. Even before the CT angiogram confirmed the diagnosis of pulmonary embolism, this diagnosis should have been suggested by the patient’s pleuritic chest pain, tachycardia, and tachypnea. (A) The first step in management of an acute pulmonary embolism in a stable patient is anticoagulation; however, this patient has a history of hemorrhagic stroke and therefore anticoagulation is contraindicated. The next step in these patients is to place an IVC filter, which will prevent a second pulmonary embolism that could be lethal. (Interestingly, these filters decrease the risk of future pulmonary emboli, but they have not been shown to decrease overall mortality.) In patients who have a temporary contraindication to anticoagulation and receive an IVC filter, the filter should be removed when they can be anticoagulated safely.
If this patient were hemodynamically unstable, then surgical or catheter-based thrombectomy would be an option. (C) Catheter-directed thrombolysis is an option in patients with extensive DVTs and those that do not meet criteria for surgical thrombectomy. This is an invasive procedure and the patient is hemodynamically stable. (D) Systemic fibrinolytics are used for hemodynamically unstable patients without contraindications, and this patient is stable with an absolute contraindication.
A 48-year-old woman comes to the hospital because of difficulty breathing. She also describes some joint pains in her hands and knees, but otherwise has no other complaints. She denies fevers, chest pain, dysuria, or recent illnesses. Her examination is remarkable for dullness to percussion at the base of the right lung, and a chest x-ray confirms the presence of a pleural effusion. A thoracentesis is performed, and the fluid appears turbid. The ratio of pleural fluid protein to serum protein is 0.9, and the glucose is 25 mg/dL (normal >60 mg/dL).
Which of the following is the most likely cause of this patient’s pleural effusion?
Rheumatoid arthritis. A pleural fluid protein to serum protein ratio >0.5 suggests an exudative effusion. The additional finding of a low glucose narrows the differential diagnosis to processes that cause either an increased consumption of glucose within the pleural fluid (by bacteria, neutrophils, malignant cells, etc.), or that disrupt the transport of glucose from the blood to the pleural fluid (e.g., malignancy). These causes include rheumatoid arthritis, parapneumonic effusions or empyemas, tuberculosis, malignancy, and esophageal rupture. The further history of joint pain in the hands and knees suggests the diagnosis of rheumatoid arthritis. (A, D) There is not enough information to suggest pneumonia or tuberculosis (no fevers, no suggestion of cough, etc.). (B) Nephrotic syndrome causes a transudative effusion. Other clues to the cause of a pleural effusion are summarized in Table below.
Hints to the Cause of a Pleural Effusion:
A 38-year-old woman presents with progressive shortness of breath and a chronic dry cough. Initially, she presented to her primary care provider and had a chest x-ray performed which showed prominent reticular markings in the lung fields. She has no relevant medical history and does not take any medications. She denies any fevers, weight loss, or chest pain. There is a family history of hypertension and dyslipidemia, but no lung or heart disease. She works as a receptionist and has never smoked. On physical examination, there are dry rales throughout both lung fields with scattered wheezes. There is no focal dullness to percussion. Initial laboratory tests are ordered and show a normal hemoglobin and leukocyte count, as well as normal electrolytes and liver enzymes. HIV testing is performed and is negative.
Which of the following should be done next in the workup of this patient?
High-resolution computed tomography. Diffuse dry rales (crackles) indicate an interstitial lung process such as pulmonary fibrosis. The approach to diagnosing interstitial lung disease starts with taking a good history looking for drug exposures (e.g., methotrexate, bleomycin, amiodarone), radiation exposure, occupational exposures (e.g., asbestosis, silicosis, berylliosis, etc.), and a personal or family history of autoimmune disease. Further workup involves obtaining laboratory values to assess for an underlying disease, but many times the workup is inconclusive. Highresolution CT scans help to make the diagnosis of interstitial lung disease and to differentiate among the various types. Common features of interstitial lung disease are a reticular, nodular, and/or ground glass pattern on imaging. Other features that help to make the diagnosis are the primary location of disease (e.g., bibasilar in rheumatoid arthritis, middle lung fields in connective tissue diseases like scleroderma, and upper lung fields in some occupational exposures such as silicosis), presence of pleural disease (e.g., pleural plaques in asbestosis), lymphadenopathy (e.g., bilateral hilar adenopathy in sarcoidosis), and the presence and location of lung nodules (e.g., centrilobular nodules in hypersensitivity pneumonitis). (B) A chest x-ray was recently performed in this patient, and repeating this study is unlikely to yield any new information. (C) Biopsy of the lung is a very invasive procedure. It may be performed eventually in this patient, but the next step is further imaging to characterize the lung pathology. (D) Bronchoscopy is also an invasive test and would not be helpful as an initial workup.